Житель Малайзии Пратап Мунианди попал в Книгу рекордов Гиннесса после того, как у него во рту выросли 42 зуба.
Об этом пишет БЕЛТА со ссылкой на сайт Книги рекордов Гиннесса.
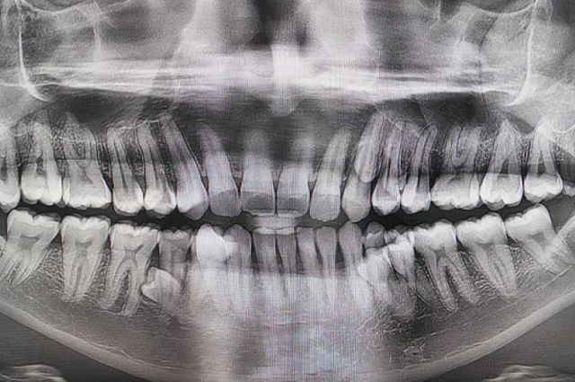
Мужчина обнаружил у себя «лишние» зубы случайно во время семейного чаепития. Обследование показало, что их на 10 больше нормы, причем растут они в два ряда. Два скрытых зуба врачи нашли только на рентгене, что официально сделало мужчину мировым рекордсменом.
Рекордсмен заявил: "Это невероятное и особенное чувство знать, что я являюсь обладателем мирового рекорда по количеству зубов".
Что такое флоссеры?
Минздрав: белорусы обращаются к стоматологу в среднем 1,5 раза в год
Как сохранить здоровье зубов у детей, рассказала стоматолог
Откуда пошло выражение «ни в зуб ногой»?
Правила комментирования
Эти несложные правила помогут Вам получать удовольствие от общения на нашем сайте!
Для того, чтобы посещение нашего сайта и впредь оставалось для Вас приятным, просим неукоснительно соблюдать правила для комментариев:
Сообщение не должно содержать более 2500 знаков (с пробелами)
Языком общения на сайте АиФ является русский язык. В обсуждении Вы можете использовать другие языки, только если уверены, что читатели смогут Вас правильно понять.
В комментариях запрещаются выражения, содержащие ненормативную лексику, унижающие человеческое достоинство, разжигающие межнациональную рознь.
Запрещаются спам, а также реклама любых товаров и услуг, иных ресурсов, СМИ или событий, не относящихся к контексту обсуждения статьи.
Не приветствуются сообщения, не относящиеся к содержанию статьи или к контексту обсуждения.
Давайте будем уважать друг друга и сайт, на который Вы и другие читатели приходят пообщаться и высказать свои мысли. Администрация сайта оставляет за собой право удалять комментарии или часть комментариев, если они не соответствуют данным требованиям.
Редакция оставляет за собой право публикации отдельных комментариев в бумажной версии издания или в виде отдельной статьи на сайте www.aif.ru.
Если у Вас есть вопрос или предложение, отправьте сообщение для администрации сайта.
Закрыть